【新科室·新启程】心内二科成立当日成功完成首台介入手术

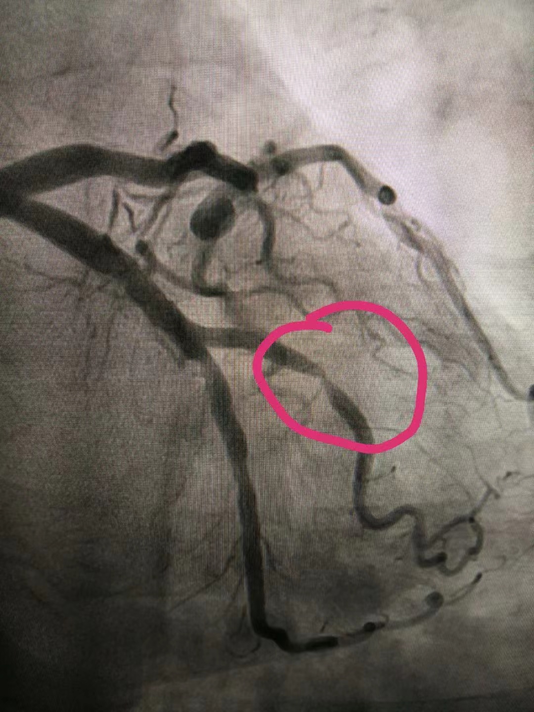
PCI术前
随着我院妇儿院区的搬迁进入尾声,12月18日,中心院区新建科室心内二科正式成立,且第一天顺利完成经皮冠状动脉支架置入术,成功救治一名急性冠脉综合征患者。

PCI术后
12月18日,70岁的杜大娘因“阵发性胸闷、心悸3天”于门诊急入住心内二科,成为科室成立当天首位住院患者。副主任王涛迅速接诊,为其查体,询问病史,患者心电图示:窦性心律、频发房早。科主任李永平凭借多年临床经验,考虑为急性冠脉综合征,不稳定性心绞痛。情况紧急,李主任与王主任共同评估患者病情后,立即向家属说明病情,并及时联系介入室,进行冠脉造影检查,发现老人回旋支OM2近段80%-90%×8mm狭窄,前向血流TIMI3级,符合PCI(即:经皮冠状动脉介入治疗手术)治疗指征。时间就是生命,在医护人员的缜密配合下,为患者行PCI治疗,并置入支架1枚。患者术中无任何不适,精神状态良好,术后安返病房。住院期间,护理人员严格执行护理核心制度,做好危重冠心病患者的护理工作。为表感激之情,患者家属特意到办公室对心内二科医护人员进行感谢。
目前临床诊断急性冠状动脉综合征患者中,超过 70% 的患者为 NSTE⁃ACS(即:非ST段抬高型急性冠脉综合征),已成为常见临床急重症。虽有研究表明NSTE⁃ACS 患者住院期间死亡率低于 STEMI(即:急性ST段抬高型心肌梗死)患者,但再次心肌梗死率、再住院率及远期死亡率均高于STEMI,不容忽视。
随着新科室第一台手术的成功开展,心内二科将继续在冠心病、急性心肌梗塞、心衰等心脏疾病方面不断突破,继续精进,一如既往为患者的生命健康保驾护航。
扫描二维码分享到微信