全区首例!神经导航引导可视化碎吸辅助内镜下脑内血肿清除术成功实施为患者生命健康保驾护航
全区首例|神经导航引导可视化碎吸辅助内镜下脑内血肿清除术成功实施为患者生命健康保驾护航
近日,我院神经外科团队成功完成全区首例神经导航引导可视化碎吸辅助内镜下脑血肿引流术。该手术的顺利开展,不仅标志着我院在重症脑血管疾病精准治疗领域实现重大技术突破,更为脑出血患者提供了创伤更小、疗效更优的治疗新选择。
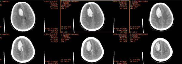
患者为52岁女性,因突发左侧肢体活动不灵伴意识障碍2小时入院。颅脑CT检查显示患者右额叶脑出血,出血量约32ml,血肿压迫周围脑组织,病情危急,若不及时干预,可能导致永久性神经功能损伤甚至危及生命。
传统脑血肿清除术多基于医生主观评估进行经验性穿刺或开颅清除,存在定位精度不足、创伤大、血肿清除不彻底等风险。针对患者病情,神经外科主任高磊带领团队充分评估后,决定采用当前国内先进的神经导航引导可视化碎吸辅助内镜下脑内血肿清除手术方案。
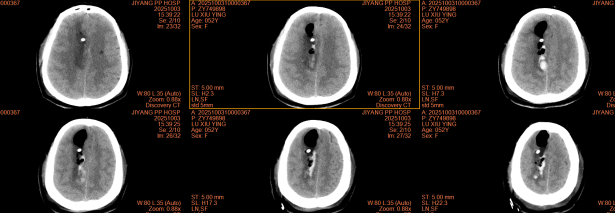
手术中,首先通过神经导航系统精准定位血肿核心位置,规划最优手术路径,误差控制在1毫米以内。随后,在可视化内镜引导下,利用吸引碎吸设备将固态血肿击碎并温和吸出,同时通过内镜实时观察血肿清除情况,避免损伤周围正常脑组织,术中出血量不足50ml,术后患者意识状态明显改善,复查CT示血肿清除率达90%以上。

术前CT ↑

术后CT ↑

手术切口 ↑

手术骨窗 ↑
神经导航就像手术中的“GPS”,内镜则是医生的“千里眼”,两者结合实现了脑血肿治疗从“盲操作”到“精准可视化”的跨越。该技术具有三大优势:一是定位精准,可有效避开重要神经血管,降低手术风险;二是创伤微小,仅需1-2厘米的“锁孔”骨窗即可完成操作,患者术后恢复快;三是清除彻底,通过内镜直视和碎吸技术,能最大限度清除血肿,减少对脑组织的二次损伤。
此次首例手术的成功,是我院神经外科技术创新与团队协作的成果,也填补了全区在该技术领域的空白。未来,神经外科团队将持续推进精准神经外科技术的临床应用与推广,为区域群众提供更优质、高效的神经疾病诊疗服务。
扫描二维码分享到微信